Pätami k sebe a ideálne pruhované. Takto sa ponožky ponášajú na chromozóm. Symbolizujú Downov syndróm, ktorý spôsobuje kópia 21. chromozómu navyše, pretože namiesto dvoch kusov sa zrodia až tri. Ľudia vo veselých ponožkách 21. marca nechcú byť výstrední, pravdepodobne oslavujú Deň Downovho syndrómu a myšlienku, že všetci, ktorí sa s ním narodili, sú rovnako ľuďmi ako my.
Ilustračný obrázok Zdroj: Pexels.com
O ľuďoch s Downovým syndróm (DS) sa hovorí, že majú radostnú a srdečnú povahu, sú priateľskí a vtipní. Kedysi sa nesprávne považovali za nevzdelávateľných, v skutočnosti sa učiť dokážu, len na to potrebujú viac času a niektorí aj individuálny prístup. Môžu byť intelektovo znevýhodnení. A pravdivé nie je ani tvrdenie, že nie sú schopní pracovať. Naopak, pracujú radi, len im k tomu treba vytvoriť vhodné podmienky. MUDr. Mária Šustrová sa na Slovensku stala akousi patrónkou detí a dospelých s Downovým syndrómom. Nedávno v rozhovore pre portál vedanadosah.sk povedala, že by pomohlo, keby po 18 rokoch dostali takíto ľudia väčší priestor na osamostatnenie, aby sa naučili žiť v spoločnosti. „Dnes už pre nich existujú denné centrá, chránené dielne aj iné pracoviská. Môžu pracovať ako pomocní ošetrovatelia, môžu robiť jednoduchšie úkony v záhradníctve aj v krajčírstve. Ale vždy sa musí nájsť človek, ktorý je ochotný s nimi pracovať a vhodne ich motivovať, lebo náš štát pre nich ešte stále nevytvára dosť pracovných príležitostí.“ Dôkazom toho, že sa dá, sú príbehy ľudí s Downovým syndrómom, ktorí sa stali mediálne známi.

Pablo Pineda vo videu nadácie Adecco. Zdroj: Youtube.com
Pablo Pineda (46)
Pablo sa preslávil vďaka španielskemu filmu Ja tiež, v ktorom sa filmový hrdina nešťastne zamiluje do ženy bez zdravotného znevýhodnenia. Za svoj presvedčivý výkon získal hlavnú cenu v kategórii najlepší mužský herec na Medzinárodnom filmovom festivale v Saint Sebastiane a filmovú cenu Goya. V reálnom živote má titul bakalára učiteľskej psychológie a pôsobí ako ambasádor ľudí s Downovým syndrómom. Často prednáša na významných konferenciách, napríklad TEDx. Vystupuje v televíznych diskusiách a pracuje pre španielsku pobočku nadácie Adecco, ktorá bojuje za právo na prácu pre každého bez ohľadu na zdravotný stav, rasu, pohlavie či vek. „Je pravda, že Downov syndróm mi bráni mať sny. No v skutočnosti za to nemôže Downov syndróm, ale spoločnosť, ktorá odo mňa nič neočakáva, pretože mám Downov syndróm,“ hovorí Pineda vo videu nadácie Adecco.

ríbeh Pabla Pinedu dostal aj podobu krásne ilustrovanej knihy pre deti s názvom Byť iným je výhoda. Zdroj: Amazon.com
Nedávajte nám limity
Pablo tiež hovorí o empatii, ktorú považuje za veľmi silný nástroj. „Spoločnosť by ju mala viac uplatňovať, aby si viac uvedomovala realitu. Vedela, ako sa človek cíti, na čo myslí, čo ho trápi. Týmto spôsobom sa môže obohatiť a vybudovať novú kultúru podnikania, založenú na talentoch bez škatuľkovania. Kultúru, v ktorej nezáleží na tom, čo vidno na povrchu, ale na tom, čo je skutočne dôležité, na schopnostiach.” Pablo tiež často zdôrazňuje, že za svoj spoločenský úspech vďačí rodičom a tomu, že ho nenechali chodiť do špeciálnych škôl, ale trvali na tom, aby navštevoval tie bežné. Dodnes spomína na to, keď prvýkrát vstúpil na univerzitu. Jeho spolužiaci aj pedagógovia boli prekvapení. Keď ale videli, že je rovnaký študent ako iní, čoskoro zapadol. Každý s Downovým syndrómom podľa neho môže dosiahnuť všetko, po čom túži, ak dostane správne príležitosti. Rodičom detí s Downovým syndrómom, vzdelávaciemu systému aj spoločnosti ako celku odkazuje, že limity pre jednotlivcov by nemala určovať spoločnosť, mal by ich určovať len človek, ktorého sa týkajú.

Madeline Stuartová na móle. Foto: Madelinemgmt. Zdroj: Wikipedia.com
Madeline Stuartová (23)
Madeline je prvá profesionálna supermodelka s Downovým syndrómom. Predvádza modely na tých najvýznamnejších svetových prehliadkach módy, napríklad New York Fashion Week catwalk, Paris Fashion Week, London Fashion Week. Jej fotografie sa objavili v svetových módnych magazínoch, ako sú The Vogue či Cospomopolitan. Okrem toho má vlastnú odevnú značku s názvom 21 Reasons Why, čo v preklade znamená 21 dôvodov prečo. Rovnako ako „ponožkový deň“ aj jej názov odkazuje na 21. chromozóm, ktorý majú ľudia s Downovým syndrómom navyše. Odkazuje tiež na to, že dôvodov, prečo sa máme tešiť zo života, je veľa.
Spopularizovala inakosť
Keďže Madeline mala od malička problémy so srdcom (podľa National Down Syndrome sa približne polovica ľudí s DS narodí so srdcovým defektom) a potrebovala sa preto zbaviť prebytočných kilogramov, začala chodiť na tanečný krúžok. Keď už viditeľne schudla, mama vytvorila koláž z fotografií pred schudnutím a po ňom a zavesila ju na internet. Chcela tak povzbudiť ostatných, ktorí majú s nadváhou problém. Netušila, že sa táto fotomontáž stane virálom. Cez noc ju vyše 100 tisíc ľudí označilo páči sa, po pár dňoch ich bolo skoro 7 miliónov. Krátko nato boli mama s dcérou na módnej prehliadke a Madeline vyslovila túžbu prejsť sa po móle. Mama poprosila organizátorov prehliadky, či by jej to umožnili a fotky, ktoré z tejto krátkej exkurzie Madeline na móle vznikli, sa opäť stali na internete veľmi populárne. Bolo to v roku 2015 a Madeline začala dostávať ponuky od módnych tvorcov. „Keď začala predvádzať, na prehliadkových mólach som nevidela nikoho iného so zdravotným postihnutím. Teraz je na nich veľa takýchto ľudí, a to nielen s Downovým syndrómom, ale aj s inými postihnutiami,“ hovorí Roseann, mama Madeline, pre magazín Insider. Poukazuje tiež na odevnú líniu návrhára Tommyho Hilfigera, ktorý vytvoril kolekciu Tommy Adaptive pre ľudí so zdravotným postihnutím. „Všetko sa zmenilo. Ľudia sú teraz akceptovaní za to, že sú ľuďmi.“

Americký skladateľ a hudobník Ronald Jenkkes na obale svojho prvého albumu. Foto: Ronald Jenkees – wikiportret.nl Zdroj: Wikipedia.com
Ronald Jenkees (31)
Americký skladateľ a hudobník Ronald Jenkkes, ktorého mnohí považujú za hudobného génia, sa tiež narodil s Downovým syndrómom. Od roku 2003 voľne sprístupňuje na YouTube svoje predstavenia. Nepredstavujte si vypredané koncertné haly. Pravdepodobne doma alebo v malom štúdiu ho natáča kamera, keď sedí za klávesmi syntetizátora. Niektoré jeho vystúpenia majú až vyše 8 miliónov pozretí, bežne však dosahujú približne milión. Jenkees vo svojich melódiách spája hip hop, techno, jazz, syntetizátory a spev.
Skladateľ bez hudobného vzdelania
Okrem hudby má rád klobúky, hrubé okuliare v čiernom ráme a svojich rodičov. Tiež vraví, že za svoju kariéru vďačí predovšetkým tomu, že ho milovali a podporovali. „Na Vianoce som dostal hračkársky klavír a rok som na ňom skutočne hral. Iba jednoduché veci, ale bavilo ma tvoriť krátke melódie,“ hovorí v interview na web–strategist.com. Rodičia vraj boli prekvapení, že bez akéhokoľvek hudobného vzdelania vyludzuje harmonické melódie. Neskôr si Ronald našiel pod vianočným stromčekom väčšie klávesy Yamaha. „Zistil som, že dokážem zoraďovať rytmy a vrstvy melódií. Vydržali mi až do strednej školy, keď som si mohol dovoliť používať klávesový nástroj Triton Le.“ Základom Ronaldovej hry je vášeň, ktorá podľa jeho slov vzniká v hudbe počas zábavných momentoch, keď počuje, že sa mu podarilo správne zasiahnuť určité tóny. A keď sa melódia rozvíja.

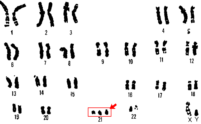
Červený obdĺžnik poukazuje na genetickú poruchu na 21. chromozóme, ktorá spôsobuje Downov syndróm. Foto: U. S. Department of Energy Human Genome Program Zdroj: Wikipedia.com
Nie sú jediní
Známych ľudí s Downovým syndrómom je oveľa viac. Jednou z nich je napríklad Paula Sage (40), škótska herečka známa z filmu After Life (Po živote), za ktorý dostala cenu pre najlepšiu herečku na Medzinárodnom filmovom festivale Bratislava v roku 2004 a rovnaké ocenenie od BAFTA Scotland. Hrala tiež v televíznom seriáli River City. Venovala sa netballu a bola aj ambasádorkou ľudí s DS v Škótsku. Ďalšou je napríklad Karen Gaffney (42), ktorá v roku 2001 ako prvý človek s DS preplávala Lamanšský kanál, a to aj napriek ochrnutej ľavej nohe. Žije v Portlande, kde vedie vlastnú organizáciu zameranú na zapojenie ľudí s DS do spoločnosti a často na túto tému prednáša. Známou osobnosťou s DS je aj Tim Harris (34), ktorý pomocou rodičov založil a viedol vlastnú reštauráciu s názvom Tim´s Place. A pretože Tim sa rád objíma, okrem jedla a pitia v nej ponúkal aj objatia zadarmo. Bola taká populárna, že sa stala súčasťou televíznej reality šou. Po piatich rokoch ju však Tim zavrel. Zamiloval sa a rozhodol sa, že sa presťahuje bližšie k svojej priateľke.
Všetky tieto príbehy ukazujú, že ľudia s Downovým syndrómom majú rôzne talenty, túžby, a majú aj energiu ich realizovať. Len im nesmieme hádzať pod nohy polená v podobe predsudkov a vyčleňovať ich zo spoločnosti.


